• Tel: 858.663.9055
  • SeparatorEmail: info@nsjbio.com
  • Tel: 858.663.9055
  • Email: info@nsjbio.com
Home >> Antibodies >> mtTFA Antibody | Mitochondrial transcription factor 1 / TFAM

mtTFA Antibody | Mitochondrial transcription factor 1 / TFAM [clone TFAM/9713] (V5800)

  Catalog No Formulation Size Price (USD)  
Image V5800-100UG 0.2 mg/ml in 1X PBS with 0.1 mg/ml BSA (US sourced), 0.05% sodium azide 100 ug 539
Image
V5800-20UG 0.2 mg/ml in 1X PBS with 0.1 mg/ml BSA (US sourced), 0.05% sodium azide 20 ug 249
Image
V5800SAF-100UG 1 mg/ml in 1X PBS; BSA free, sodium azide free 100 ug 539
Bulk quote request
Western blot testing of human HEK293T cell lysate with mtTFA antibody (clone TFAM/9713). Expected molecular weight: 24-29 kDa.
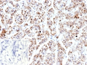
IHC staining of FFPE human adrenal gland tissue with mtTFA antibody (clone TFAM/9713). Inset: PBS used in place of primary Ab (secondary Ab negative control). HIER: boil tissue sections in pH 9 10mM Tris with 1mM EDTA for 20 min and allow to cool before testing.
SDS-PAGE analysis of purified, BSA-free mtTFA antibody (clone TFAM/9713) as confirmation of integrity and purity.
Availability 1-3 business days
Species Reactivity Human
Format Purified
Clonality Monoclonal (mouse origin)
Isotype Mouse IgG, kappa
Clone Name TFAM/9713
Purity Protein A/G affinity
UniProt Q00059
Localization Cytoplasm (Mitochondria)
Applications Immunohistochemistry (FFPE) : 1-2ug/ml
Western Blot : 2-4ug/ml
Limitations This mtTFA antibody is available for research use only.
Review this product on BioCompare and get a $20 Amazon gift card

Related Products

  • Applications : WB, IHC-P, FACS
    Reactivity : Human
  • Applications : WB, IHC-P, IF
    Reactivity : Human
  • Applications : IHC, FACS, IF, WB, ELISA
    Reactivity : Human
  • Applications : WB, IHC-P, IF, IP
    Reactivity : Human, Mouse, Rat
  • Applications : WB, Direct ELISA
    Reactivity : Mouse, Rat

Description

mtTFA (mitochondrial transcription factor A), also known as mtTF1, TFAM, TCF6 (for transcription factor 6-like1), TCF6L2 and tsHMG, is a nuclear-encoded gene product that is imported into the mitochondria. mtTFA is required for many aspects of mitochondrial biogenesis including the replication and transcription of mitochondrial DNA (mtDNA). In mouse, testis-specific mtTFA is missing the mitochondria targeting sequence and is present in the nucleus rather than the mitochondria. This form of mtTFA is located primarily in the nuclei of elongated spermatids and may be involved in the regulation of gene expression of the haploid male genome. During mouse and human spermatogenesis there is a reduction of mtTFA protein levels and a reduction in mtDNA copy number. These features may provide one of the mechanisms by which paternal mtDNA transmission is prevented. mtTFA has been associated with mitochondrial disorder in humans characterized by ocular myopathy, exercise intolerance and muscle wasting.

Application Notes

Optimal dilution of the mtTFA antibody should be determined by the researcher.

Immunogen

A portion of amino acids 1-200 from human Mitochondrial transcription factor 1 protein was used as the immunogen for the mtTFA antibody.

Storage

Aliquot the mtTFA antibody and store frozen at -20oC or colder. Avoid repeated freeze-thaw cycles.

Cross
Bulk Quote Request Form
Name*:
Organization*:
Email*:
Phone Number*:
Catalog No.*:
Comments and Specifics(amount, formulation, etc.)*:
Validation code: Captchapackage Image


Can't read the image? click here to refresh.
    *required field

Your bulk quote request has been submitted successfully!

Please contact us if you have any questions.